Viêm nang lông là tình trạng da phổ biến, dễ xuất hiện sau cạo nhổ lông, đổ nhiều mồ hôi hoặc ma sát kéo dài. Nếu nhận biết sớm và chăm sóc đúng cách, bạn có thể giảm khó chịu, hạn chế lan rộng và ngừa tái phát.

Viêm nang lông là gì và xuất hiện ở đâu

Dấu hiệu nhận biết sớm

Viêm nang lông thường biểu hiện bằng các nốt sẩn đỏ hoặc mụn mủ mọc quanh chân lông, có thể gây ngứa, rát nhẹ hoặc châm chích. Một số trường hợp chỉ có cảm giác sần ráp, nhưng cũng có người thấy đau khi chạm vào vùng da đang viêm.

Khi tổn thương rõ hơn, nốt viêm có thể nổi thành cụm, bên trên có đầu trắng và vùng da xung quanh ửng đỏ. Tình trạng này dễ bị nhầm với mụn trứng cá, rôm sảy hoặc lông mọc ngược, vì vậy cần quan sát xem tổn thương có tập trung quanh nang lông hay không.

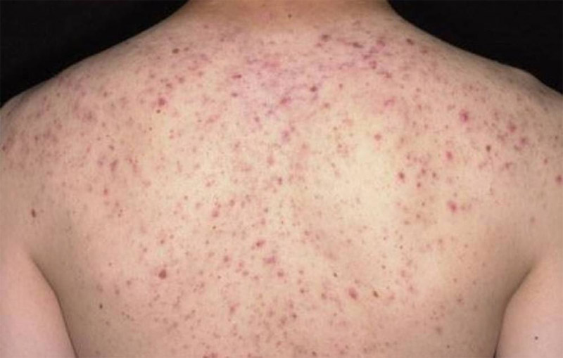
Những vị trí dễ gặp

Viêm nang lông có thể xuất hiện ở bất kỳ vùng da nào có lông, nhưng thường gặp hơn ở da đầu, mặt, cổ, lưng, ngực, mông, đùi và vùng kín. Những khu vực hay đổ mồ hôi, bí bách hoặc cọ xát với quần áo chật thường có nguy cơ cao hơn.

Xem thêm  Xóa Tài Khoản Game Liên Kết Với Số Điện Thoại – Hướng Dẫn Chi Tiết, Nhanh Gọn Từng Bước

Sau khi cạo râu, wax lông hoặc dùng dao cạo không sạch, da cũng dễ nổi các nốt viêm li ti quanh sợi lông. Nếu tổn thương tái đi tái lại ở cùng một vị trí sau mỗi lần tẩy lông, bạn nên thay đổi thói quen chăm sóc da sớm.

Nguyên nhân và yếu tố làm bệnh nặng hơn

Viêm nang lông - Những vị trí dễ gặp
Viêm nang lông – Những vị trí dễ gặp

Tác nhân thường gặp

Tình trạng Viêm nang lông có thể liên quan đến vi khuẩn, nấm men, lông mọc ngược hoặc nang lông bị kích thích do mồ hôi, dầu thừa và tế bào chết tích tụ. Khi hàng rào bảo vệ da bị tổn thương, các tác nhân này dễ xâm nhập hơn và làm vùng da đỏ, ngứa, nổi mụn mủ.

Ngoài ra, thời tiết nóng ẩm, môi trường nhiều bụi bẩn hoặc thói quen mặc đồ bó sát cũng góp phần làm da bí tắc. Với người có làn da nhạy cảm, chỉ cần cọ xát mạnh, tẩy tế bào chết quá đà hoặc dùng mỹ phẩm không phù hợp cũng đủ khiến nang lông bị kích ứng.

Những thói quen dễ làm tái phát

Nhiều người có thói quen gãi, nặn hoặc chà xát mạnh vào vùng da tổn thương vì nghĩ như vậy sẽ nhanh khô cồi. Trên thực tế, cách xử lý này dễ làm Viêm nang lông lan rộng, tăng nguy cơ nhiễm khuẩn thứ phát và để lại thâm sẹo kéo dài.

Việc dùng chung khăn tắm, quần áo ẩm, dao cạo cũ hoặc không làm sạch da sau khi vận động cũng là yếu tố khiến bệnh dai dẳng hơn. Nếu bạn thường xuyên cạo sát chân lông và bỏ qua bước dưỡng ẩm nhẹ, bề mặt da sẽ dễ khô rát và tạo điều kiện cho lông mọc ngược.

Cách điều trị theo mức độ

Viêm nang lông - Những thói quen dễ làm tái phát
Viêm nang lông – Những thói quen dễ làm tái phát

Chăm sóc tại nhà khi còn nhẹ

Với trường hợp nhẹ, bạn nên giữ da sạch, tắm sau khi ra mồ hôi và mặc quần áo thoáng để giảm ma sát lên vùng tổn thương. Khi Viêm nang lông mới chớm, chườm ấm và làm sạch dịu nhẹ mỗi ngày thường giúp nốt viêm bớt sưng, giảm ngứa rát và hỗ trợ da phục hồi.

Xem thêm  Mai táng tuổi 18 – Hồi ức đau thương và những bí ẩn chưa kể

Bên cạnh đó, hãy tạm ngưng cạo, nhổ hoặc wax lông cho đến khi da ổn định. Một số sản phẩm làm sạch hỗ trợ giảm vi khuẩn trên da có thể hữu ích, nhưng bạn nên dùng đúng hướng dẫn, tránh bôi chồng nhiều lớp treatment khiến vùng viêm bị kích ứng nặng thêm.

Điều trị y khoa khi tổn thương kéo dài

Nếu tổn thương không cải thiện sau một thời gian chăm sóc tại nhà, bác sĩ có thể chỉ định thuốc bôi hoặc thuốc uống tùy nguyên nhân. Trong nhiều trường hợp, Viêm nang lông do vi khuẩn sẽ cần thuốc kháng sinh phù hợp, còn trường hợp liên quan đến nấm men có thể phải dùng thuốc kháng nấm hoặc thuốc giảm viêm.

Khi tổn thương tái phát nhiều lần, bác sĩ có thể đánh giá thêm yếu tố như lông mọc ngược, kỹ thuật cạo lông, độ bí da hoặc bệnh lý nền kèm theo. Bạn không nên tự ý mua kháng sinh bôi kéo dài vì dùng sai thuốc hoặc ngừng quá sớm có thể làm bệnh dai dẳng hơn.

Khi nào cần đi khám và cách phòng ngừa

Viêm nang lông - Điều trị y khoa khi tổn thương kéo dài
Viêm nang lông – Điều trị y khoa khi tổn thương kéo dài

Dấu hiệu không nên chần chừ

Bạn nên đi khám nếu thấy nốt viêm lan nhanh, đau nhiều, sưng nóng rõ, chảy mủ nhiều hoặc kèm sốt. Đây có thể là lúc Viêm nang lông không còn ở mức nhẹ và cần được bác sĩ đánh giá sớm để tránh biến chứng như nhọt, áp xe nhỏ hoặc sẹo thâm kéo dài.

Ngoài ra, trường hợp tổn thương kéo dài nhiều tuần, tái phát liên tục hoặc xuất hiện ở vùng da nhạy cảm cũng cần được kiểm tra. Việc thăm khám đúng chuyên khoa giúp phân biệt bệnh với mụn trứng cá, viêm da hoặc lông mọc ngược đơn thuần để chọn hướng điều trị phù hợp hơn.

Xem thêm  Play together mod 2 - 9 mẹo lên cấp thần tốc

Cách giảm nguy cơ tái phát

Để hạn chế Viêm nang lông, bạn nên ưu tiên quần áo thấm hút tốt, tắm rửa sau khi vận động và giữ vùng da nhiều lông luôn khô thoáng. Dao cạo cần được thay định kỳ, vệ sinh sạch trước khi dùng và tránh cạo quá sát vì thao tác này rất dễ gây trầy xước bề mặt da.

Nếu thường xuyên tẩy lông, hãy thử phương pháp ít gây kích ứng hơn và luôn dưỡng ẩm nhẹ sau đó. Song song với việc chăm sóc bên ngoài, bạn cũng nên ngủ đủ, hạn chế để mồ hôi bám lâu trên da và chọn sản phẩm chăm sóc cơ thể có công thức dịu nhẹ.

Lưu ý quan trọng để chăm sóc da đúng cách

Một lưu ý quan trọng là không phải nốt đỏ nào quanh chân lông cũng giống nhau, nên bạn không nên áp dụng công thức điều trị theo kinh nghiệm truyền miệng. Khi Viêm nang lông xuất hiện nhiều lần, lan rộng hoặc để lại thâm sẹo, việc khám da liễu sớm sẽ giúp tìm đúng nguyên nhân và tránh mất thời gian thử sai cùng khiphach.vn.

Trong giai đoạn da đang viêm, hãy ưu tiên sự tối giản trong chăm sóc, tránh tẩy rửa quá mạnh và không nôn nóng muốn hết ngay sau vài ngày. Kiên trì làm sạch dịu nhẹ, giảm ma sát, theo dõi đáp ứng của da và tuân thủ hướng dẫn của bác sĩ sẽ là cách an toàn để kiểm soát tình trạng này lâu dài.

Để lại một bình luận

Email của bạn sẽ không được hiển thị công khai. Các trường bắt buộc được đánh dấu *